scytek logo
 
  • COMPANY
    • ABOUT US
    • CONTACT US
  • Products
    • Enzyme Immunoassay
    • Immunohistochemistry
    • Antibodies
    • DNA Ploidy Analysis
    • Histology
    • Cytology
    • Hematology
    • Microbiology
    • Buffers
  • KNOWLEDGE
UltraTek Alk-Phos Anti-Mouse (Permanent Red) Staining System
UltraTek Alk-Phos Anti-Mouse (Permanent Red) Staining System

UltraTek Alk-Phos Anti-Mouse (Permanent Red) Staining System

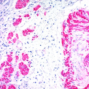
UltraTek Alk-Phos Anti-Mouse (Permanent Red) Staining System, AET080, 70 slides, is a complete kit to detect primary antibody with mouse origin by using an Alk-Phos-labeled-streptavidin and a biotinylated anti-mouse secondary antibody.

Developed in the research laboratories of ScyTek the kit provides unmatched sensitivity with incubation times of 10 minutes each for the Link Antibody and Enzyme Label. The complete ScyTek kit is supplied with full instructions for use with ScyTek's proprietary formulations of Super Block (AAA) a protein blocking reagent, a biotinylated secondary antibody UltraTek Anti-Mouse (ABJ), UltraTek Alk-Phos (ABM) and Permanent Red (PRD-15) for a crisp clear dark final stain which can be coverslipped with solvent based mounting media for long term storage.

Summary Protocol:
Incubation with an unconjugated primary antibody specific to the target antigen.
The primary antibody is bound to the biotinylated secondary antibody.
The secondary antibody is then bound to the Alk-Phos-Labeled streptavidin.
A red color is created when the Alk-Phos is bound to site of the primary antibody by reacting with Permanent Red.

Kit Components:
Super Block 1 x 8 ml AAA008
UltraTek Anti-Mouse 1 x 8 ml ABJ008
UltraTek Alk-Phos 1 x 8 ml ABM008
Permanent Red Concentrate 1 x 2 ml PRC002
Permanent Red Buffer 8 x 5 ml PRB005

Alternate streptavidin-biotin IHC detection kits:
UltraTek Alk-Phos Anti-Rabbit (Permanent Red) Staining System - AME080
UltraTek Alk-Phos Anti-Polyvalent (Permanent Red) Staining System - AMH080

For high sensitivity HRP Polymer IHC detection kits:
Anti-Mouse / Anti-Rabbit HRP-DAB Polymer IHC Kit - CRF Anti-Polyvalent HRP Polymer (DAB) Stain Kit - CPH080

 IFU - US 

Select size

Quantity
Add to cart

Company

  • Company Profile
  • Awards/Certificates
  • Careers
  • OEM/Private Label

Support

  • SDS
  • Technical Support
  • Consulting Services
  • Industry Links

Contact

  • Contact Us
  • Global Distributors
  • Sales
 

Social media links

Privacy Policy | Terms and Conditions | Refund Policy 

© 2017, ScyTek Laboratories, Inc. 205 South 600 West Logan, UT 84321, 800-729-8350 | scytek@scytek.com