scytek logo
 
  • COMPANY
    • ABOUT US
    • CONTACT US
  • Products
    • Enzyme Immunoassay
    • Immunohistochemistry
    • Antibodies
    • DNA Ploidy Analysis
    • Histology
    • Cytology
    • Hematology
    • Microbiology
    • Buffers
  • KNOWLEDGE
ABCC4 / ATP Binding Cassette Subfamily C Member 4 (Drug Target); Clone ABCC4/9019
ABCC4 / ATP Binding Cassette Subfamily C Member 4 (Drug Target); Clone ABCC4/9019

ABCC4 / ATP Binding Cassette Subfamily C Member 4 (Drug Target); Clone ABCC4/9019

Species: Mouse
Immunogen: Recombinant fragment (around aa1-200) of human ABCC4 protein (exact sequence is proprietary)
Clone: ABCC4/9019
Isotype: IgG2b / Kappa
Entrez Gene ID: 10257
Hu Chromosome Loc.: 13q32.1
Synonyms: ATP-binding cassette sub-family C member 4, MRP/cMOAT-related ABC transporter, Multi-specific organic anion transporter B, Multidrug resistance-associated protein 4, bA464I2.1 (ATP binding cassette, sub-family C (CFTR/MRP) member 4); Canalicular multispecific organic anion transporter ABC superfamily; MOATB; MRP/cMOAT related ABC transporter; Multi-specific organic anion transporter B; Multidrug resistance associated protein 4
Mol. Weight of Antigen: 150kDa
Format: 200ug/ml of antibody purified from Bioreactor Concentrate by Protein A/G. Prepared in 10mM
PBS with 0.05% BSA & 0.05% azide.
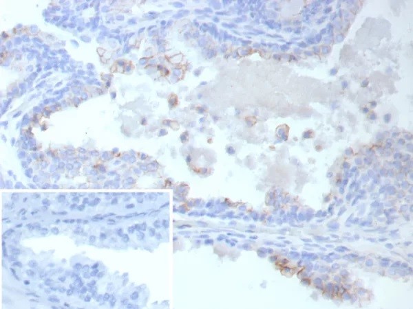
Specificity: Recognizes a protein of 150kDa corresponding to a recombinant fragment of ABCC4 protein.
Background: The two members of the large family of ABC transporters known to confer multidrug resistance in human cancer cells are the Mdr-1 P-glycoprotein and the multidrug-resistance protein MRP1. MRP1 is an integral membrane protein that contains an MDR-like core, an N-terminal membrane-bound region and a cytoplasmic linker, and it is expressed in various cerebral cells, as well as in lung, testis and peripheral blood. The MRP gene family also includes MRP2, which is alternatively designated cMOAT (for canalicular multispecific organic anion transporter), and MRP3, which are both conjugate export pumps expressed predominantly in hepatocytes. MRP2 localizes exclusively to the apical membrane and is constitutively expressed at a high level in normal liver cells. Conversely, MRP3 localizes to the basolateral membrane where it also mediates the transport of the organic anion S-(2,4-dinitrophenyl-) glutathione toward the basolateral side of the membrane. MRP3 is normally expressed at comparatively lower levels than MRP2 and increases only when secretion across the apical membrane by MRP2 is impaired. MRP6 is highly expressed in liver and kidney, whereas MRP4 and MRP5 are detected in various tissues, yet at much lower levels of expression.
Species Reactivity: Human
Positive Control: but is barely detectable in liver.|Widely expressed|with particularly high levels in prostate
Cellular Localization: Membrane
Titer/ Working Dilution: Immunohistochemistry (Frozen and Formalin-fixed): 1-2 µg/ml
Microbiological State: This product is not sterile.

 IFU - US 
  • Literary References
 SDS 

Select size

Quantity
Add to cart

Company

  • Company Profile
  • Awards/Certificates
  • Careers
  • OEM/Private Label

Support

  • SDS
  • Technical Support
  • Consulting Services
  • Industry Links

Contact

  • Contact Us
  • Global Distributors
  • Sales
 

Social media links

Privacy Policy | Terms and Conditions | Refund Policy 

© 2017, ScyTek Laboratories, Inc. 205 South 600 West Logan, UT 84321, 800-729-8350 | scytek@scytek.com