scytek logo
 
  • COMPANY
    • ABOUT US
    • CONTACT US
  • Products
    • Enzyme Immunoassay
    • Immunohistochemistry
    • Antibodies
    • DNA Ploidy Analysis
    • Histology
    • Cytology
    • Hematology
    • Microbiology
    • Buffers
  • KNOWLEDGE
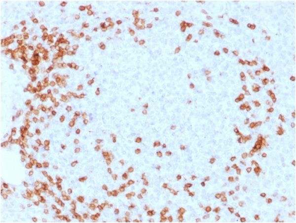
CD3e (T-Cell Marker); Clone C3e/1931
CD3e (T-Cell Marker); Clone C3e/1931

CD3e (T-Cell Marker); Clone C3e/1931

Species: Mouse
Immunogen: A recombinant human CD3e protein fragment (around aa 23-119) (exact sequence is proprietary)
Clone: C3e/1931
Isotype: IgG1 / Kappa
Entrez Gene ID: 916
Hu Chromosome Loc.: 11q23.3
Synonyms: T-cell surface glycoprotein CD3 epsilon chain, T-cell surface antigen T3/Leu-4 epsilon chain, CD3 epsilon; CD3 TCR complex; T cell antigen receptor complex epsilon subunit of T3; T-cell surface antigen T3/Leu-4 epsilon chain; T-cell surface glycoprotein CD3 epsilon chain; T3E; TCRE; TiT3 complex
Mol. Weight of Antigen: 20kDa
Format: 200ug/ml of antibody purified from Bioreactor Concentrate by Protein A/G. Prepared in 10mM
PBS with 0.05% BSA & 0.05% azide.
Specificity: Recognizes the epsilon-chain of CD3, which consists of five different polypeptide chains (designated as gamma, delta, epsilon, zeta, and eta) with MW ranging from 16-28kDa.

 IFU - US 
  • Literary References
 SDS 

Select size

Quantity
Add to cart

Company

  • Company Profile
  • Awards/Certificates
  • Careers
  • OEM/Private Label

Support

  • SDS
  • Technical Support
  • Consulting Services
  • Industry Links

Contact

  • Contact Us
  • Global Distributors
  • Sales
 

Social media links

Privacy Policy | Terms and Conditions | Refund Policy 

© 2017, ScyTek Laboratories, Inc. 205 South 600 West Logan, UT 84321, 800-729-8350 | scytek@scytek.com