scytek logo
 
  • COMPANY
    • ABOUT US
    • CONTACT US
  • Products
    • Enzyme Immunoassay
    • Immunohistochemistry
    • Antibodies
    • DNA Ploidy Analysis
    • Histology
    • Cytology
    • Hematology
    • Microbiology
    • Buffers
  • KNOWLEDGE
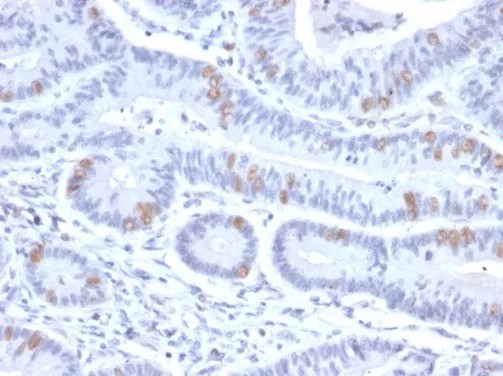
BRAF35 / HMG20B; Clone PCRP-HMG20B-1B5
BRAF35 / HMG20B; Clone PCRP-HMG20B-1B5

BRAF35 / HMG20B; Clone PCRP-HMG20B-1B5

Species: Mouse
Immunogen: Synthetic peptide (exact sequence is proprietary)
Clone: PCRP-HMG20B-1B5
Isotype: IgG1 / Kappa
Entrez Gene ID: 10362
Hu Chromosome Loc.: 19p13.3
Synonyms: SWI/SNF-related matrix-associated actin-dependent regulator of chromatin subfamily E member 1-related, BRCA2-associated factor 35, HMG box-containing protein 20B, HMG domain-containing protein 2, HMG domain-containing protein HMGX2, Sox-like transcriptional factor, Structural DNA-binding protein BRAF35, BRAF25; BRAF35; BRCA2-associated factor 35; High Mobility Group Protein 20B; HMG box-containing protein 20B; HMG domain-containing protein 2; HMG domain-containing protein HMGX2; HMG20B; SMARCE1-related protein; SMARCE1r; Sox-like transcriptional factor; SOXL; Structural DNA-binding protein BRAF35; SWI/SNF-related matrix-associated actin-dependent regulator of chromatin subfamily E member 1-related
Mol. Weight of Antigen: 35kDa
Format: 200ug/ml of antibody purified from Bioreactor Concentrate by Protein A/G. Prepared in 10mM
PBS with 0.05% BSA & 0.05% azide.
Specificity: Recognizes a protein of 35kDa, identified as BRAF35.

 IFU - US 
  • Literary References
 SDS 

Select size

Quantity
Add to cart

Company

  • Company Profile
  • Awards/Certificates
  • Careers
  • OEM/Private Label

Support

  • SDS
  • Technical Support
  • Consulting Services
  • Industry Links

Contact

  • Contact Us
  • Global Distributors
  • Sales
 

Social media links

Privacy Policy | Terms and Conditions | Refund Policy 

© 2017, ScyTek Laboratories, Inc. 205 South 600 West Logan, UT 84321, 800-729-8350 | scytek@scytek.com