scytek logo
 
  • COMPANY
    • ABOUT US
    • CONTACT US
  • Products
    • Enzyme Immunoassay
    • Immunohistochemistry
    • Antibodies
    • DNA Ploidy Analysis
    • Histology
    • Cytology
    • Hematology
    • Microbiology
    • Buffers
  • KNOWLEDGE
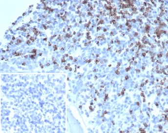
CD2 / Lymphocyte Function Antigen 2 (LFA-2); Clone LFA2/7100
CD2 / Lymphocyte Function Antigen 2 (LFA-2); Clone LFA2/7100

CD2 / Lymphocyte Function Antigen 2 (LFA-2); Clone LFA2/7100

Species: Mouse
Immunogen: Recombinant fragment of human CD2 protein (exact sequence is proprietary)
Clone: LFA2/7100
Isotype: IgG2b / Kappa
Entrez Gene ID: 914
Hu Chromosome Loc.: 1p13.1
Synonyms: T-cell surface antigen CD2, Erythrocyte receptor, LFA-2, LFA-3 receptor, Rosette receptor, T-cell surface antigen T11/Leu-5, Erythrocyte receptor; LFA-2; LFA-3 receptor; Ly-37; Lymphocyte function antigen 2; Rosette receptor; SRBC; T-cell surface antigen CD2; T-cell surface antigen T11/Leu-5; T11
Mol. Weight of Antigen: 39kDa
Format: 200ug/ml of antibody purified from Bioreactor Concentrate by Protein A/G. Prepared in 10mM
PBS with 0.05% BSA & 0.05% azide.
Specificity: Recognizes a protein of 39kDa, identified as CD2.

 IFU - US 
  • Literary References
 SDS 

Select size

Quantity
Add to cart

Company

  • Company Profile
  • Awards/Certificates
  • Careers
  • OEM/Private Label

Support

  • SDS
  • Technical Support
  • Consulting Services
  • Industry Links

Contact

  • Contact Us
  • Global Distributors
  • Sales
 

Social media links

Privacy Policy | Terms and Conditions | Refund Policy 

© 2017, ScyTek Laboratories, Inc. 205 South 600 West Logan, UT 84321, 800-729-8350 | scytek@scytek.com