scytek logo
 
  • COMPANY
    • ABOUT US
    • CONTACT US
  • Products
    • Enzyme Immunoassay
    • Immunohistochemistry
    • Antibodies
    • DNA Ploidy Analysis
    • Histology
    • Cytology
    • Hematology
    • Microbiology
    • Buffers
  • KNOWLEDGE
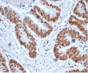
MSH2 (DNA Mismatch Repair Marker); Clone MSH2/6852
MSH2 (DNA Mismatch Repair Marker); Clone MSH2/6852

MSH2 (DNA Mismatch Repair Marker); Clone MSH2/6852

Species: Mouse
Immunogen: Recombinant full-length human MSH2 protein
Clone: MSH2/6852
Isotype: IgG1 / Kappa
Entrez Gene ID: 4436
Hu Chromosome Loc.: 2p21-p16.3
Synonyms: DNA mismatch repair protein Msh2, MutS protein homolog 2, BAT26; COCA1; DNA mismatch repair protein Msh2; FCC1; hMSH2; HNPCC1; LCFS2; MSH2; MutS homolog 2; MutS homolog 2 colon cancer nonpolyposis type 1; MutS protein homolog 2
Weight of Antigen: 100kDa
Format: 200ug/ml of antibody purified from Bioreactor Concentrate by Protein A/G. Prepared in 10mM
PBS with 0.05% BSA & 0.05% azide.
Specificity: Recognizes a protein of 100kDa, identified as MSH2.

 IFU - US 
  • Literary References
 SDS 

Select size

Quantity
Add to cart

Company

  • Company Profile
  • Awards/Certificates
  • Careers
  • OEM/Private Label

Support

  • SDS
  • Technical Support
  • Consulting Services
  • Industry Links

Contact

  • Contact Us
  • Global Distributors
  • Sales
 

Social media links

Privacy Policy | Terms and Conditions | Refund Policy 

© 2017, ScyTek Laboratories, Inc. 205 South 600 West Logan, UT 84321, 800-729-8350 | scytek@scytek.com